心包囊肿在日常生活中是一种比较陌生的疾病,它对人的身体是非常打得危害。那么你知道心包囊肿的发病原因是什么吗,心包囊肿应该怎么去治疗呢,心包囊肿应该接受哪些检查呢?想要了解的朋友就一起来看看下面的内容吧。
所谓心包囊肿,就是指发生于心包的一种先天性纵隔囊肿亦称为间皮囊肿、心包旁囊肿、胸膜心包囊肿纵隔水囊肿或纵隔单纯性囊肿等。囊肿与心包腔隔绝,如果经蒂与心包腔相通则称为心包憩室。
病因尚未完全明了。多数学者认为心包囊肿是在胚胎时期胚胎头端及两旁中胚层侧板有些间隙出现,如果这些间隙中的一个未与其他间隙融合而独立存在即发育成心包囊肿,如果部分融合留有蒂与心包腔相通则形成心包憩室。
治疗措施
良性肿瘤,早期手术切除,晚期和心脏大血管粘连,使手术切除困难,或不能全部切除。恶性肿瘤广泛不能切除,可采用以下方法。
①剑突下心包引流术
排除心包积液,缓解心脏受压症状。
②心包内滴注射性磷酸铬
此法能减少心包渗液,1968年开始应用。方法是先经剑突下作心包穿刺,经穿刺针置入导管,排液后滴注32P。一般用量为5Mci溶于35ml等渗盐水。滴注完毕后,拨除导管,即行扫描,以确定注入32P的分布情况。一般都极均匀,可使症状缓解。
③放射疗法
需经组织学确定为上皮细胞和淋巴细胞,放疗后可暂时缓解症状。
④化学疗法
有局部心包腔内注射噻替派和全身静脉滴注环磷酰胺、自力霉素和长春新碱等,达到抑制恶性细胞生长。首先应争取手术切除,以后加用其它综合治疗,可达到一定疗效。
临床表现及诊断
心包囊肿比较少见,其发病率较低的原因除本病少见外,尚因多数无症状。有的囊肿小又与纵隔阴影互相重叠不易被发现。发病年龄多为青壮年,多数患者无自觉症状,多为其他原因胸部透视偶然发现。有症状者为心悸、气短、咳嗽及心前区不适,也有患者可查见心电图异常,可能与肿物压迫有一定关系。少数病例因囊肿压迫膈神经而使患侧季肋部痛,并向肩部放射疑似慢性胆囊炎;有的病例可因过劳或体位改变而使疼痛加剧;如果囊肿发生破裂可并发炎症表现。
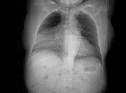
胸部X线检查在心膈角处有明显阴影,深呼吸和体位改变可见阴影形态和大小都有明显改变。
辅助检查
1.X线表现
①囊肿常发生在心隔角区右侧多见。
②囊肿呈圆形或椭圆形密度均匀边缘清楚。
③侧位上囊肿靠前贴近前胸壁。

④透视下胸腔压力变化可致变形。
爱华网



