人都希望自己能有一口好牙,牙齿的缺失、缺损不仅会影响到人的外观形象,还会对身体健康造成一定的影响。很多求美者都选择做烤瓷牙来弥补不足。那么,烤瓷牙有几种呢?下面就让康网小编;来介绍一下吧。

烤瓷牙有几种?
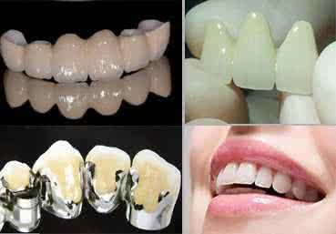
镍铬合金烤瓷牙:镍铬合金烤瓷牙主要是由镍、铬、铍、锰等金属构成。镍铬合金烤瓷牙的特点是坚固高、价格便宜;但是还是有极个别患者有过敏现象。
钛合金烤瓷牙:钛合金烤瓷牙主要是由钛、镍、铬和钼及其它金属成分等金属构成。钛合金烤瓷牙的特点是坚固高、色泽好,而且与瓷的结合力较强。
铂钯合金烤瓷牙:铂钯合金烤瓷牙含铂、钯、银和其它金属成分。铂钯合金烤瓷牙的特点是耐腐蚀、极好的生物相容性,逼真的色泽,性能坚固稳定,不容易破坏。
金铂合金烤瓷牙:金铂合金烤瓷牙主要是由大部分金、铂、钯及其它金属成分等构成。金铂合金烤瓷牙主要的特点是逼真的色泽、金属与瓷的结合更加牢固、边缘很紧密,但这种烤瓷牙的价格相对高了一点。
全瓷牙 :全瓷牙 不仅是在外观上还是在性能上都比金属烤瓷牙更好的品种,而且全瓷牙采用特殊的、强度很高的氧化铝或氧化锆陶瓷材料作为内核,全瓷修复没有金属烤瓷修复所必需的金属内冠,全瓷的内冠是一种透明的骨架,而且层次、色泽最接近真牙,对牙龈没有刺激,看上去要比金属烤瓷牙更自然、更美观、基本没有过敏。
铸瓷烤瓷牙:铸瓷烤瓷牙内冠为瓷构造而成的,其中的强度可高达420Mpa。主要是将预制铸压的瓷块放在千度高温以上铸压为修复体然后再进行烤瓷或色。铸瓷烤瓷牙的主要特点是在外观上更优越于金属烤瓷牙,逼真的色泽最接近天然牙,内冠对牙龈没有刺激,看上去要比金属烤瓷牙更自然、更美观。
以上就是烤瓷牙有几种,医生提醒不同的烤瓷牙也有不同的适应症。究竟那种适合您,就需要根据您牙齿的状况、您的要求和医生的建议来综合考虑。
扩展阅读:装烤瓷牙痛吗?
专家指出,随着烤瓷牙的无痛时代带来,麻醉药物的不断改进,口腔医生已经可以让患者在无痛的情况下,完成烤瓷牙修复过程,一般医生会采取轻柔的手法和无痛针,先采取局部的表面浸润麻醉,然后再进针,以及手法上轻柔一点,缓慢的进针,避开毛细血管(很重要,因为血管壁的痛觉神经纤维很丰富)。基本可以把打针的痛苦降到最低,甚至没有痛苦。
确认麻醉良好以后,那么你就没有感觉了,可以正常操作,所有的操作没有疼痛的感觉,仅仅是张嘴时间长不舒服。在牙齿预备完以后,戴上临时牙,可以保护你的牙齿,也不会感觉到疼痛。可能仅仅是牙龈由于排龈有一点轻度的不适,但是绝对可以忍受。
装烤瓷牙痛吗?其实现在装烤瓷牙一般是无痛的,当然也不是绝对的,如果是患者有比较严重的吸烟、酗酒习惯,麻醉的效果可能要差一些,可能手术过程中就会感到疼痛了,不过这种疼痛感也是大家所能接受的。
爱华网



