白血病大家并不觉得陌生,因为它的大名已经是家喻户晓了。但是大家对白血病又有多少了解呢,今天小编为大家介绍一下白血病中比较常见的一种,慢性髓细胞白血病的检查以及病因有哪些吧。
慢性髓细胞白血病的检查
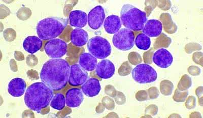
1、慢性期
(1)血象
人体中的白细胞数量经常是50109/L,也有时候可能达到50109/L之上。但是约三分之一的慢性髓细胞白血病患者的血红蛋白在110g/L,而贫血多数是正常细胞的正常色素性。往往体内的血小板数量会增多,有时可能会高达1000109/L左右,一少部分的患者可能会正常的减少。
血涂片检查中可见不同成熟阶段的粒细胞,以中、晚幼粒细胞阶段居多。原料细胞5%,原粒+早幼粒细胞10%,嗜酸性及嗜碱性粒细胞增多,有少量有核红细胞出现。
(2)骨髓象
增生极度活跃或明显活跃,以粒系为著,粒与红之比可增至10∶1~20∶1,粒系各阶段均增加,以中、晚幼粒细胞增加为主。嗜酸性与嗜碱性粒细胞比例明显高于正常,巨核细胞及血小板亦增多。
(3)中性粒胞碱性磷酸酶(ALP)
染色积分减低或接近于零。
(4)细胞遗传及分子生物学检查
在慢性髓细胞白血病中有90%以上的患者的骨髓中期的分裂细胞Ph染色体经常会呈现出阳性,通过分带技术证明了9号染色体长臂3区4带与22号染色体1区1带部分片段相互易位,也就是t(9;22)(q34;11)。
荧光素染色体原位杂交术(FISH)敏感性更高。提取骨髓或外周血单个核细胞的DNA,经DNA印迹法可检测到bcr基因重排,发生在5'端(b3a2)。

若提取骨髓或血单个核细胞部RNA,经反转录聚合酶链反应(RT-PCR)术可检测到bcr/abl转录产物mRNA,是目前最灵敏而又特异的方法。
(5)血清生化测定
血清尿酸、乳酸脱氢酶及溶菌酶往往增高。
2、急变期
在急变期的慢性髓细胞白血病患者的贫血现象会迅速的加重,而且骨髓以及外周血中的原始粒细胞和幼稚细胞会发生明显增多的趋势。
骨髓原始粒细胞20%,如为急性危象则可达卡90%以上,血小板减少,中性分叶核细胞碱性磷酸酶可升高或正常,遗传学检查,常为非整倍体,除t(9;22)(q341;q11)的Ph染色体外,还附加其他染色体的异常,如出现第二个Ph染色体,或多一个8号染色体(+8),或者说17号染色体长臂等臂缺失(ISO17q-)。
3、加速期
白细胞持续上升,幼稚细胞开始增多,原粒+早幼粒10%。
1、骨髓活检病理切片银染常示网状纤维增生,约一半患者为显著增生。
2、根据病情,症状、体征、选择做X线、CT、MRI、B超、心电图等检查。
鉴别
1、在不典型情况下CML应与类白血病反应鉴别
类白血病反应可继发于休克、严重感染、结核病、晚期肿瘤或妊娠中、后期,白细胞数多低于50109/L,中性粒细胞碱性磷酸酶染色积分往往升高,不伴有Ph染色体及bcr/abl融合基因异常,原发疾病控制后,白细胞可恢复正常。尚需与原发性骨髓纤维化(MF)鉴别,MF常有明显的脾大、白细胞和血小板可以增高,血片中出现幼粒、幼红细胞,易和CML相混淆。但是MF患者Ph染色体阴性,骨髓活检网状纤维及胶原纤维增生。
2、Ph阳性ALL需与无慢性期的CML急淋变相鉴别
两者临床表现相似,后者脾大较明显,Ph阳性ALL在完全缓解期染色体核型可恢复正常,复发时再现。CML急淋变者Ph染色体难以消减,还伴有附加染色体异常。从分子水平检测可发现约半数Ph阳性ALL的融合基因及其表达产物与CML相同。断裂点在M-bcr,其bcr/abl产物为p210。另半数Ph阳性ALL的断裂点在M-bcr上游约40kb的M-bcr区,蛋白产物为p190。当做基因检测时需用有别于Ph阳性CML的引物及探针,以此可区别于CML。
3、CML还需和原属CML的几种相关疾病鉴别
因为它们均有外周血白细胞数升高、出现幼稚粒细胞;骨髓增生明显或极度活跃,以粒细胞系为主;常伴脾大等征象。CML和这些相关疾病鉴别关键点是Ph染色体和bcr/abl融合基因的检测,CML为阳性,而相关疾病为阴性。下面再简单列出其他的鉴别要点。
(1)慢性中性粒细胞白血病(CNL)
骨髓中增生的细胞主要为成熟的中性分叶核细胞、外周血中性粒细胞碱性磷酸酶(ALP)染色积分常升高。目前WHO分类中已将CNL归入骨髓增生性疾病范畴。