
1.临床检查所见
非炎性关节可触膜和听到关节发出的干性吱吱声。在进行期,关节边缘性增生,关节囊肥厚,关节增大。运动受限。关节破坏严重,运动明显受限,关节畸形与关节破坏相一致。关节运动从不发生完全丧失。当关节有炎症时,滑液增多,可于关节间隙引起限局性压痛。无肌肉痉挛和萎缩。Heberden

1.临床检查所见
非炎性关节可触膜和听到关节发出的干性吱吱声。在进行期,关节边缘性增生,关节囊肥厚,关节增大。运动受限。关节破坏严重,运动明显受限,关节畸形与关节破坏相一致。关节运动从不发生完全丧失。当关节有炎症时,滑液增多,可于关节间隙引起限局性压痛。无肌肉痉挛和萎缩。Heberden

近日看见[北京晩報]和[快乐老人报]都以整版编幅登出[退障眼膏]的广告,广告标题是[用足90天,包你換双眼]。具体介绍了白内障的开路人“军中名医”金世勋教授和他的[双脱退障疔法]。文中指岀此眼膏的三大突破是:15天清除垃圾,眼晴变轻松

黄斑变性和黄斑出血两种病,病变部位都在黄斑部,形成的主要原因是肝肾不足所致。黄斑出血是指出血发生在黄斑部,多为高度近视的并发症。高度近视眼轴变长,可是脉络膜与视网膜发生病理性改变,黄斑部产生新生血管,新生血管破裂,发生出血。发

2009年04月01日15:57退行性关节炎是一种常见的关节疾病。在中国退行性关节炎患者往往只注重药物治疗以缓解疼痛,而忽视对病患关节的日常康复在骨性节炎治疗中的重要作用。下面就简单地向大家介绍一下日常关节康复注意事项吧:物理按摩

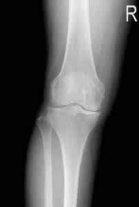
创伤性关节炎又称外伤性关节炎、损伤性骨关节炎,它是由创伤引起的以关节软骨的退化变性和继发的软骨增生、骨化为主要病理变化以关节疼痛、活动功能障碍为主要临床表现的一种疾病。任何年龄组均可发病,但以青壮年多见,多发于创伤后、承

据外国新闻网站Caters报道,牙买加一位变性美女身高6英尺7英寸(约合2米),她时常抱怨,因为身高过高,自己的恋爱之路走得艰难——男人们总以“不喜欢女朋友太高”为由把她甩了。因为个子太高,她也曾一度犹豫是否要接受变性手术。