(1)注意个人卫生,避免不洁爱爱
爱爱接触传染为本病主要的传播方式,预防应以避免不洁爱爱和爱爱混乱为主,此外。少数可通过间接接触感染,应注意个人卫生,不共用生活用品,如毛巾、内裤、浴盆等。
(2)早发现、早诊断、早治疗
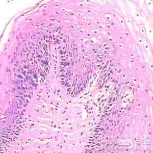
宫颈HPV感染多为亚临床型,单靠肉眼识别将有大部分病人被漏诊,有资料显示宫颈湿疣的临床漏诊率达85%,这成为复发和蔓延的原因,并且宫颈HPV感染有发展至宫颈癌的危险性,早期彻底治疗有助于降低宫颈癌的发生。应用阴道镜早期可发现宫颈部的异型上皮、异型血管以及早期癌变,并准确地选择可疑部位作活体组织检查。有调查显示阴道镜和病理诊断符合率为99%。
(3)宫颈尖锐湿疣是由病毒感染所致,可引起妇女大小阴唇、阴道口、尿道口、阴道壁等处生长形态各异的疣体。同时该病毒还可感染宫颈部而引起宫颈炎,对此人们没有足够的重视,很多病人只注重外阴部明显疣体的治疗,而忽视病毒侵犯宫颈部形成的隐患。

(4)有资料显示宫颈湿疣的临床漏诊率达85%,这成为复发和蔓延的原因,并且宫颈HPV感染有发展至宫颈癌的危险性。早期彻底治疗尖锐湿疣有助于降低宫颈癌的发生。应用阴道镜早期可发现宫颈部的异型上皮、异型血管以及早期癌变,并准确地选择可疑部位作活体组织检查。
爱华网



