牛皮癣是一种一种常见的具有特征性皮损的慢性易于复发的炎症性皮肤病,它的发病原因有很多,那么你知道牛皮癣的发病原因到底是哪些吗?今天小编就向大家介绍牛皮癣的治疗与预防,赶紧来看看吧!
目录
1、牛皮癣怎么治疗 2、牛皮癣是怎么引起的
3、牛皮癣有什么症状 4、牛皮癣如何诊断
5、牛皮癣怎么预防 6、牛皮癣患者吃什么好
7、牛皮癣有什么治疗偏方 8、牛皮癣患者如何调理
9、老年人得牛皮癣怎么办 10、哪种性格的人易患牛皮癣
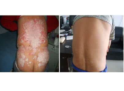
牛皮癣怎么治疗
牛皮癣,又叫银屑病,是一种常见的具有特征性皮损的慢性易于复发的炎症性皮肤病。
初起为炎性红色丘疹,约粟粒至绿豆大小,以后逐渐扩大或融合成为棕红色斑块,边界清楚,周围有炎性红晕,基底浸润明显,表面覆盖多层干燥的灰白色或银白色鳞屑。轻轻刮除表面鳞屑,逐渐露出一层淡红色发亮的半透明薄膜,称薄膜现象。
再刮除薄膜,则出现小出血点,称点状出血现象。白色鳞屑、发亮薄膜和点状出血是诊断牛皮癣的重要特征,称为三联征。牛皮癣皮损从发生到最后消退大致可分为三个时期:进行期、静止期、退行期。
通常按轻、中、重三度治疗:轻度,皮损面积10%。轻度只需外用药物治疗,中、重度需用联合疗法治疗。
(一)外用药物
1.焦油制剂
常用的有煤焦油、松馏油、糠馏油、黑豆馏油等,浓度一般为5%,使用方法为常规外涂、封包及联合其他药物治疗。对慢性稳定性牛皮癣、头皮牛皮癣及掌跖牛皮癣效果最好。禁用于妊娠期尤其是前3个月的孕妇,也不用于伴严重痤疮和毛囊炎的患者。
2.地蒽酚
又称蒽林,是治疗寻常型稳定性牛皮癣最有效的药物。常用蒽林软膏和蜡棒,方法有常规涂药法、短时接触疗法和联合疗法。
3.糖皮质激素类
最常用的外用药,牛皮癣可选用中效或强效的糖皮质激素,以软膏效果最好,洗剂为差。用法为常规外涂法、间歇冲击疗法、轮换疗法、封包疗法、联合疗法。
4.维A酸类药
适用于寻常型斑块状牛皮癣。可引起局部刺激及光敏现象,若与糖皮质激素或UVB联合,可提高疗效,减少不良反应。孕妇、哺乳期妇女及近期有生育愿望的妇女禁用,儿童避免使用。避免与黏膜接触,避免阳光下多晒。

爱华网



