在我们生活中,想必不少人对于脑白质疏松症不是太了解的吧,这是我们大家中的一个疾病,那么大家知道脑白质疏松症治疗是怎么样的吗,脑白质疏松症状是什么呢,下面就让我们一起来了解一下吧。
什么是脑白质疏松

脑白质是一种影像学概念,主要是一种由神经传导纤维诱导的弥漫性脑缺血。本病最重要的鉴别诊断是皮质下动脉硬化性脑病、Binswanger病、慢性进行性智的典型临床表现、思维加工速度慢、认知能力下降。
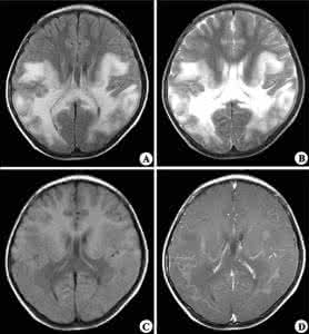
颅脑CT主要表现为脑室周围低密度影,颅脑MRI表现为T2加权像高信号影。脑干听觉诱发电位的检测可作为一个敏感、客观的指标发现脑干功能受累情况及亚临床病灶,为早期诊断脑白质疏松症的手段之一。
脑白质疏松的治疗
由于脑白质疏松症(LA)常常导致认知能力减退,LA出现被认为是脑损害的一个早期标志,鉴于目前对LA尚无特效疗法,故预防其发生、发展具有重要的临床意义。首先应针对各种导致LA的病因进行治疗。
我们要积极防治脑血管病、高血压、高脂血症、脑外伤、糖尿病等。BD患者,发现在大脑有WMCS的老年人不推荐抗血小板治疗,以避免出血性中风的风险。抗凝治疗导致脑出血的危险性显著增加。
许多研究表明,与无LA的卒中病人相比,伴有LA的卒中病人再发卒中的危险性明显增高,生存率下降,首发卒中一月后和结束随访时的痴呆发生率增加,日常生活依赖性增大。
脑白质疏松症是老年人的常见病,随着CT和MRI的广泛应用,脑白质疏松症越来越多地在中、老年人中被发现。脑干听觉诱发电位的检测也是早期诊断脑白质疏松症的手段之一。
主要是使用营养脑细胞的药物如:脑活素,胞二磷胆碱,脑复康.肌苷片等,戒烟酒.避免吃含明矾的食物如油条等,另外加上对症治疗的药物如控制精神症状的药物。
脑白质疏松症的预防
许多学者认为脑白质是一种正常的衰老过程,因为在许多正常老年人做体检也可以发现,所以经常不注意。但事实上,它是一组由各种不同原因引起的临床综合征。
越来越多的研究表明,相当数量的脑白质疏松症患者表现有认知和行为障碍,如表情淡漠,记忆力、判断力和反应能力均下降,语言功能和视觉也可发生不同程度的障碍。
应该从下面着手
读书、看报、听音乐、练书法、下棋、打牌,从事一些小发明、小创造,这些有益于大脑保健的智力活动可以激发大脑的活力,延缓大脑衰老。
积极参加社交活动,保持与外界环境的密切接触,多到大自然中去,参加力所能及的体育锻炼,呼吸新鲜空气,使中枢神经活动得到改善,从而促进脑细胞的新陈代谢。
科学饮食,保证大脑有足够的能量和丰富的营养,不偏食,不过饥或过饱,不吃生冷、过热食物。减少含铝离子食品如粉丝等的摄入。
生活规律,睡眠充足,保持良好的情绪,避免恶性精神刺激。对周围发生的事应坦然处之,不急不躁。
不吸烟,不饮烈性酒,积极预防和治疗高血压、糖尿病、高脂血症等各种慢性疾病
多种提高记忆力的食品,卷心菜:富含维生素B,预防大脑疲劳。
爱华网



