毛囊炎是一种很常见的皮肤疾病,会给人带来很大的困扰,相信应该没有人希望自己会得毛囊炎的,那么人为什么会得毛囊炎呢?毛囊炎的原因是什么?毛囊炎怎么办?下面就来随着小编一起深入了解下。
毛囊炎(folliculitis)是指葡萄球菌侵入毛囊部位所发生的化脓性炎症,中医学根据其发病部位及形状有不同的命名,如大珠疮、发际疮,羊胡子疮、蝼蛄疖、蝼蛄患,蟮拱头等。
本病好发于头部、项部,臀部、肛周或身体其他部位,且有复发倾向,常多处发生,性质顽固,迁延难愈。毛囊炎(folliculitis)为毛囊部发生的急性、亚急性或慢性化脓性或非化脓性炎症,可分为浅部和深部毛囊炎。
症状体征
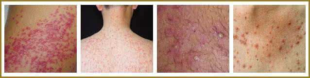
初发为与毛囊一致的炎性小丘疹,周围有红晕,迅速变为脓疱,中心常有毛发贯穿,脓疱如粟粒大小,不相融合。
疱壁薄,破后有少量脓性分泌物,自觉瘙痒及微痛,数天后干燥结痂而愈,不留瘢痕。多见于成人,好发于头皮、项部,也见于臀部等处。局部淋巴结可肿大。性质顽固,倾向复发,常迁延多时。
用药治疗
1.全身治疗
注意个人和环境卫生,保持皮肤清洁,忌饮酒及食辛辣、刺激性食品。积极治疗原发病如糖尿病等,多发者可选抗生素及维生素类。
2.局部治疗
原则为杀菌、消炎、干燥。可外用2.5%碘酊、5%氯化氨汞(白降汞)、10%鱼石脂软膏或1%新霉素软膏。
3.物理疗法
可采用紫外线或超短波照射。
对迁延不愈者可用自家菌苗或多价菌苗注射。也可给予免疫增强剂。
4.中医疗法

①湿热型
法宜清热解毒利湿。方用银花15g、连翘15g、大青叶10g、公英10g、茯苓10g、薏仁15g、防己10g、车前草10g、白藓皮15g、防风10g、甘草10g。也可服用连翘败毒丸。
②气阴两虚型
法宜益气养阴,清热解毒。方用生芪10g、党参10g、干生地15g、麦冬、天冬各15g、银花15g、连翘15g、野菊花10g、地丁10g 、大青叶10g。亦可服用五味消毒饮。