尺骨骨折是骨折的一种类型,根据位置的不同又分为近端骨折和远端骨折,而这也显示了病情的不同。但是尺骨鹰嘴骨折又是什么呢?尺骨骨折吃什么好?尺骨骨折能保守治疗吗?今天我们就来具体的看一下。
尺骨骨折多发生在成年人中,根据情况的不同,治疗方法也是不一样的,究竟要怎么治疗尺骨骨折呢?
尺骨骨折是骨折的类型,根据尺骨骨折的位置可分为近端骨折和远端骨折,根据骨折原因及是否移位病情,可分为无移位尺骨骨折和移位尺骨骨折。由于不同尺骨骨折患者病情存在差异,所以在治疗方法的选择上也有所不同,而这些都会对尺骨骨折康复愈合造成影响。
如果尺骨骨折没出现移位的情形,那么在治疗方面更多借助石膏等外固定方式即可,相反如果是有移位的情形,通过外固定方式显然难以固定受伤的部位,进而不利于愈合,而这种情况这必须借助手术的方式,借助内部钢板,柳丁等方式进行固定,进而给尺骨愈合创造条件。

影响尺骨骨折愈合的因素非常多,例如骨折对位较差,固定不良骨折部位血运较差,骨折端经常承受有害的应力干扰,内固定不当以及各种感染所导致。
如果新鲜骨折在是个月,通过检查仍以活动或变化,那么提醒骨折愈合的时间稍微较晚的,但仍有愈合的可能。而如果没有愈合的迹象,那么表明骨折不愈合或愈合困难。
为加快尺骨骨折的愈合,还要注意饮食营养及日常生活保健,如果有涉及到手术治疗尺骨骨折,那么手术后的食物要以清淡饮食为主,接下来要食物方面要促进伤口的恢复,同时具有消炎等方面的作用,待伤口恢复后,可以吃骨头汤等有助骨头愈合功效和作用的食物。
尺骨骨折怎么办
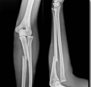
尺骨近端后方位于皮下的突起为鹰嘴。与前方的尺骨冠状突构成半月切迹。此切迹恰与肱骨滑车形成关节。尺肱关节只有屈伸活动,尺骨鹰嘴骨折是波及半月切迹的关节内骨折。因此解剖复位是防止关节不稳及预防骨性关节炎及其他合并症发生的有效措施。尺骨鹰嘴骨折较常见,多发生在成年人。
病因
1.间接外力
人在摔倒的时候,肘关节处于关伸直位,外力传到肘关节,肱三头肌牵拉从而造成撕脱骨折。而骨折线为横断或斜行,两骨折端有分离。
2.直接外力
摔倒时肘关节伸直肘部着地,或直接打击到肘后,造成粉碎骨折,骨折端多无分离。
临床表现
无移位骨折可肿胀、压痛。有移位的骨折及合并脱位的骨折,肿胀范围较广泛。肘后方可触到凹陷部、骨折块及骨擦音。肘关节功能丧失。
检查
本病的辅助检查主要是X线检查。肘关节侧位X线片,可准确掌握骨折的特点。前后位X线平片也很重要,它可以呈现骨折线在矢状面上的走向。若桡骨头也同时发生了骨折,在侧位X线片上可以沿骨折线出现明显断缩,并且没有成角或移位。
治疗
治疗结果均应达到伸肘有力而稳定、屈伸范围良好及对合优良的关节面。常用的治疗方法如下。
爱华网



