编辑:小伟
来源:影像园

投稿邮箱:2519330936@qq.com
版主微信号:gx1747523627
CT增强后可以明确显示心脏解剖结构,以下是心脏基本层面图文:
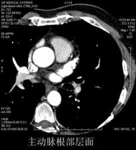
1、主动脉根部层面
相当于心腰下部,范围从左心房上部到右心房、右室上部水平。升主动脉根部已位于纵隔中央,左前方为肺动脉干,构成纵隔左前缘。右心房构成纵隔右缘前部。主动脉根部的后方是左心房,食管紧贴左心房后部,食管后侧方为奇静脉。降主动脉位于食管的左后部,椎体左缘。此外,在左心房上部平面的图像上,可见两侧上肺静脉,在右心房、右心室中部平面可见两侧下肺静脉。
2、心室层面
相当于膈上水平。此层面上纵隔主要由左、右心室构成。左右心室之间前会有小切迹,为前室间沟。左右心室之间的室间隔在增强CT上显示较清楚,呈相对低密度影,在MRI上显示更佳,与心肌信号相近。心脏前缘的心包呈1-Zmm粗的细线状,在心包外及心肌外脂肪的衬托下可显示。食管、奇静脉及降主动脉等形态及位置同上层面。二尖瓣及三尖瓣口在MRI上可显示。
3、隔顶层面
此层面可见肝脏上部,下腔静脉位于肝脏的后内缘。胸椎前方见奇静脉,左侧有半奇静脉及降主动脉。食管位于降主动脉右前方。
欢迎投稿:2519330936@qq.com