
摘要:目的 探讨颈部肿大淋巴结的CT诊断价值及临床影像学检查意义。方法 总结经手术病理证实的172例颈部淋巴结的资料,并对其病变的部位、CT表现进行分析。结果 颈部组织相对复杂的解剖关系在横断面时容易区别,CT扫描优势在于定位准确,能明确病变范围及周围组织关系。能为临床活检提供有利方法。结论 CT扫描能根据肿大淋巴结的部位,肿块的大小,密度和增强后的强化有无侵润等提出较为准确的良恶肿大淋巴结的诊断[1],同时操作简单,风险低,患者痛苦小,并能为今后手术提供准确的定位。
关键词:颈面部;淋巴结肿大;体层摄影术;X线计算机
颈部淋巴结肿大的主要影响因素是转移性肿瘤、恶性淋巴瘤及感染性淋巴结炎等。近年来,颈部淋巴结肿大的发病率逐渐提升,且大多数患者不合并肺结核,因此导致该病的临床诊断存在较大的难度[2]。颈部结构复杂,传统颈部X线摄影,由于组织密度差别较小,只能通过显示的间接X线征象来判断显示肿大淋巴�Y的形态及性质。自CT问世以来,由于有优越的密度分辨率,对颈部肿大的淋巴结诊断率上有了明显提高。本文旨在通过探讨CT对颈部肿大淋巴结的形态,位置的改变来提高良恶性肿大淋巴结的准确率。
1 临床资料
发现颈部淋巴结肿大患者172例,其中男98例,女74例,年龄6~84岁,就诊无自觉症状常规体检中发现者24例,无意中扪及者9例,临床出现症状后检查中发现者139例。所用CT扫描机为美国PK2000型,患者取仰卧颈部过申位,自喉结下方胸廓开口处扫描。层厚、层距均为5 mm,时间2.8秒。采用小视野影像重建尽可能提高图像分辨率,并根据病情扩大扫描范围。除2例有造影剂过敏史外其余均作增强扫描。
2 结果
172例颈面部肿大淋巴结的患者中,116例为原发性淋巴结肿大,占67.44%;继发性淋巴结肿大者56例,占32.56%。172例中恶性淋巴结肿大66例,占38.37%;良性淋巴结肿大106例,占61.63%。66例恶性淋巴结肿大病例中,淋巴结转移癌56例,占84.85%;恶性淋巴瘤9例,占13.64%;其它1例,占1.51%。106例良性淋巴结肿大病例中,慢性淋巴结炎症71例占66.98%;淋巴结结核28例,占26.42%;其它7例,占6.6%(见表1)。
3 结论
3.1颈部淋巴结肿大分为原发性或继发性。由于颈部解剖结构复杂,各组织之间连接紧密,较小或较深的一般不易发现,患者往往出现症状后才重视。淋巴结作为人体的重要组成部分是机体预防的重要屏障,同时本身也最容易受到损伤。人们对于淋巴结肿大的研究目前已达到了很深的水平,但如何更准确的发现它,认识它,同时通过它去更好了解其相应的组织学及病理学关系还存在一定的难度。本文通过CT所具有的空间立体高分辨率的这一优势应用于颈部,对于颈部淋巴结肿大的发现,以及其特有的征像,为今后临床上对疾病早期诊断及治疗提供可靠的依据,同时还可发现与原发病灶之间的关系,为手术及其他治疗提供指征。
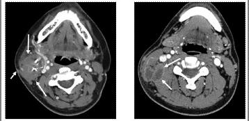
3.2颈面部肿大淋巴结的CT征象:转移性淋巴结肿大一般为中等密度,较均匀一致,有的有中央低密度区,提示有坏死囊变灶,边缘清楚或不清楚,由于有多个淋巴结融合,常有分叶改变,增强后以周边强为主,个别为均匀强化,或中央有低密度无强化区,恶性淋巴瘤淋巴结肿大密度均匀或中等密度,肿大淋巴结边缘清,增强后一致强化[3]。淋巴结结核的淋巴结肿大一般都为类圆形,周边密度均匀,中央有低密度区,提示有干酪样坏死区,边缘和转移性淋巴结肿大相比一般均有清晰边缘可见,增强后均匀强化,干酪坏死区不强化或表现不规则强化。淋巴结炎引起的淋巴结肿大密度略低于周围的肌肉组织,界限清楚,增强后均匀强化(见表2)。
3.3 CT分辨率高,特别对颈部相对紧密的部位能够很好显示其解剖结构,对颈部淋巴结肿大有其特殊诊断价值。CT不仅能够清晰显示肿物大小与周围组织结构。同时还可以对其性质作出准确判断。由于恶性肿瘤生长代谢旺盛,CT常能显示突破包膜向外侵润生长的改变和出现中央密度减低区及边缘环形强化,有时可显示肿块与血管壁的关系,在癌性病灶淋巴结转移中判断淋巴结外形轮廓与周围组织的关系时,淋巴结包膜屏障一旦被破坏其生存率明显降低,复发率明显提高[4]。颈部淋巴结多位于颈静动脉间隙内侧和后方,有时压迫血管向内侧和后方移位,舌骨上区颈动脉间隙淋巴结肿大可使颈动静脉分离,增强CT扫描有助于定位及定性诊断。另外,淋巴结的大小会在一定程度上影响CT诊断的准确率[5]。直径 3.4颈部淋巴结肿大对于炎症、肿瘤、结核的诊断意义重大,特别对于临床早期诊断、早期治疗都有重要意义,单纯炎症所致的淋巴结肿大,淋巴结常以单发的孤立的结节为主要表现,相互之间很少融合,有比较完整的包膜,与结核相比无钙化。而肿瘤所致的淋巴结转移有明显的肿瘤特点,例如无完整的包膜,相互之间经常融合与周围正常组织界线不清。
参考文献:
[1]刘增胜,孙屹岩,胡斌,等.腮腺区肿瘤CT扫描方法的比较[J].齐鲁医学杂志,1999,14(3):174-175.
[2]石梦昀,杨斌,边莉,等.CT双能量虚拟平扫在颈部肿大淋巴结的诊断价值[J].中国医学影像学杂志,2013(11):812-815.
[3]池宏杰,程楷.腮腺混合瘤的CT诊断[J].齐鲁医学杂志,2000,15(2):97-98.
[4]梁颖,罗德红,吴宁,等.颈部恶性淋巴结的多层螺旋CT灌注研究[J].中华放射学杂志,2004,38(11):1193-1197.
[5]杨笑一,许秀霞,徐文贵,等.PET/CT双定量分析在良恶性颈部淋巴结鉴别诊断中的价值[J].中国肿瘤临床,2012,39(10):728-731.
[6]董馨,王艳艳.恶性淋巴瘤累及颈部淋巴结的螺旋CT表现[J].中国实验诊断学,2015(12):2113-2115.
编辑/安桦
百度搜索“爱华网”,专业资料、生活学习,尽在爱华网!
爱华网



