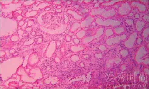
1.感染 长期蛋白尿导致蛋白质大量丢失、营养不良、免疫功能紊乱易并发各种感染。如呼吸道感染、泌尿道及皮肤感染等,感染作为恶性刺激因素,常诱发慢性肾炎急性发作,使病情进行性加重。尽管目前已有多种抗生素可供选择,但若治疗不及时或不彻底,感染仍是导致慢性肾炎急性发作的主要原因,应予以高度重视。

2.肾性贫血 慢性肾炎晚期出现肾实质损害,可并发血液系统多种异常,如贫血、血小板功能异常、淋巴细胞功能异常和凝血机制障碍等。其中贫血是最为常见的并发症。贫血的主要原因有:①红细胞生成减少;②红细胞破坏增多:肾衰竭时,尿毒症毒素在体内蓄积,红细胞代谢发生障碍而易于破坏,发生溶血,导致贫血。③失血:大约25%的晚期肾衰竭病人可出现明显的出血,加重贫血。
3.高血压 慢性肾炎肾功能不全期,常出现严重的心血管并发症,如高血压、动脉粥样硬化、心肌病、心包炎以及肾功能不全等,其原因主要是慢性肾炎肾功能不全期(CRF)本身发展过程代谢异常引起的。据统计高血压发病率达70%~80%,需要肾脏替代治疗的病人则几乎均有高血压,其中3/4病人用低盐饮食和透析即能控制高血压,另外1/4的病人用透析去除体内过剩的钠和水后,血压反而升高。此外,CRF病人高血压有其固有的特征,表现为夜间生理性血压下降趋势丧失,部分可分为单纯性收缩期高血压。
爱华网本文地址 » http://www.aihuau.com/a/397351/265673865294.html
更多阅读

间质性肺炎哪里治得好?存在着急性期,但其隐蔽性强,病程发展呈慢性经过,机体对其最初反应在肺和肺泡壁内表现为炎症反应,导致肺泡炎,最后炎症将蔓延到邻近的间质部分和血管,最终产生间质性纤维化,导致瘢痕产生和肺组织破坏,使通气功

间质性肺炎的日常生活护理?① 尽量减少活动,注重休息,保证足够的睡眠时间。①尽量减少活动,注重休息,保证足够的睡眠时间。②重度肺纤维化-间质性肺炎患者要长期卧床休息,定时翻身、拍背、按摩,促进痰液排出,预防褥疮、坠积性肺炎的形成。病

自从1935年Hamman和Rich首次描述弥漫性肺间质纤维化以来,国内外诸多专家学者从病因、病理、临床、放射学等不同的角度提出过多种间质性肺疾病(ILD)的分类。目前比较公认的分类方法是2002年美国胸科学会(AST)和欧洲呼吸学会(ERS

间质性肺炎 -疾病描述人体肺位置间质性肺病(Interstitial lung Disease,简称ILD)这一病名的提出早在1975 年第18 届Aspen 肺科讨论会时使用了这一名词。事隔10 年(1985)第28届Aspen 肺科讨论会再一次对ILD 做了研讨。对ILD 的研究近

应医学界的朋友之邀将电子版的IPF指南放在网上供同行阅读和复制特发性肺 (间质)纤维化诊断和治疗指南 (草案 )中华医学会呼吸病学分会 弥漫性间质性肺疾病 (ILD)是以弥漫性肺泡单位慢性炎症和间质纤维化为主要病理特征的一大