相关解答一:有虫牙臭怎么办
蛀牙发臭,很可能里面腐蚀物导致的,建议尽快让牙医将腐蚀物清除,进行补牙
相关解答二:有虫牙怎么办?
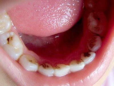
虫牙,又称“蛀牙”、“龋齿”,并不是牙齿中长了虫子,而是口腔中糖和酸共同作用,产生了致龋菌,腐蚀了牙体。虫牙是许多朋友都可能遇到的问题,根据第三次全国口腔健康流行病学调查结果显示,我国5岁儿童、35-44岁中青年、65-74岁老年人的龋齿率均超过了66%,65-74岁老年人更是高达98.4%。目前,临床上治疗虫牙最有效的方法就是补牙,同时越早治疗虫牙,效果越好。 由于大家对虫牙的认识不正确、不深刻,许多人都认为虫牙不是病,多刷刷牙,少吃点糖就好了,所以常常贻误了治疗虫牙的时机,导致“小洞不补,大洞吃苦”,甚至引发了钻心的牙疼,寝食难安。对于儿童乳牙长虫牙,不少家长都认为,儿童乳牙反正都是要换的,可以不补,这种观点是非常错误的。武汉爱齿尔口腔专家指出:乳牙长了虫牙同样要及时补牙,一旦乳牙遭到严重的龋坏,可直接影响牙体、牙髓及牙周组织,最终导致乳牙松动脱落。乳牙过早脱落,相对的牙齿失去了对咬牙,使对牙向缺失乳牙部位伸长,影响恒牙的生长发育,甚至出现牙齿排列紊乱。家长朋友们注意,应定期带着小孩到专业口腔医院进行口腔检查,若孩子大磨牙的窝沟比较深,应及时进行窝沟封闭,防止虫牙滋生。 恒牙一旦恒牙长了虫牙,就更应及时补牙了,这是因为恒牙一旦脱落了是无法再生的,另外,虫牙是一种破坏性的进行性疾病,不通过补牙是无法治愈的,而且虫牙不及时治疗,拖的时间越久,补牙难度越大。当虫牙导致牙体严重酸蚀缺损后,会直接侵袭牙髓或根尖周,导致剧烈牙疼,夜晚更甚,且伴有阵发性加剧的症状,这时有可能需要先进行根管治疗,清空髓腔和根管内的坏死物质再进行补牙填充,这样不仅增加了治疗难度、治疗费用,而且治疗时间也会延长。根管治疗通常需要2-4次才能完成。
相关解答三:虫牙疼怎么办啊?
维生素b1 笛三敏松 土霉素 比罗西康 维生素c 每种两片,每日3次 比罗西康可以少一点。 我蛀牙疼,连吃了三天多就好了。以后每一个月左右会疼一次,吃一次药也就不疼了。药都很好买,花7块钱左右。是真的.
临时可以揉对侧虎口,效果还好吧。
长远之计还是补牙 或拔牙 也有牙医门专业的方法
相关解答四:虫牙疼怎么办?
虫牙是民间叫法;病因,中医叫上火,西医叫发炎。
临床经验参考:1、一般性牙疼,如果牙龈没肿,想快速缓解,吃黄连上清片。2、如果牙龈肿了,就吃牛黄解毒丸或牛黄解毒片。中药对症,立竿见影。
【重要提示】1、如果患者年龄超过45岁,要想牙疼不再反复,胃好的人,饭前吃“知柏地黄丸”;胃不好的人,饭后15分钟,吃知柏地黄丸,或麦味地黄丸。2、患者如果常常半夜牙疼而醒,尤其牙龈不红不肿者,必有其他健康问题。建议这样的患者看中医,因为多数情况下,非器质性病变,西医是检查不出来的。供参考,祝好运。
相关解答五:虫牙疼怎么办?
~~我来说两句吧,一定要有积极向上的心态。第一是好好刷牙,刷够3分钟.至少每天两次,可以试用杏林集圣惠虫牙方,清热败火,消炎定痛,补肾固齿,能达到除虫固齿防蛀之效。. 第二也是治本的,蛀牙,也叫虫牙,其实并不是虫子咬的,而是你每天吃饭的残留物经过无氧环境发酵后产生的酸性物质腐蚀了你的牙冠,也叫牙釉质.形成了黑斑.牙医通常会帮你先把已经被腐蚀的黑斑磨掉,如果很深已经伤到牙髓也就是牙神经的话就要把牙神经烧掉,疼是不疼的,但这颗牙就变成死牙了.没什么太大的区别,只是没有营养再运送到那里而已,不过毕竟不如活牙好了,所以劝你尽快去治疗.磨完之后牙医会用填充物给你把洞补好,这样就不会让曝露的牙齿内部再受到腐蚀.我那时候是24小时不能刷牙.以后只要你注意刷牙,好好保护,不要咬过硬的东西,一定能有健康的牙齿的。|
请采纳答案,支持我一下。
是否可以解决您的问题?
相关解答六:有蛀虫牙疼怎么办?
“牙疼不是病,疼起来真要命?”一直是广为流传的一句俗语,但其实并不科学,因为牙疼是一种口腔疾病的症状,尤其是在得了蛀牙的情况下,那真是吃不下,睡不着,自己难受,家人也很心疼。那么,要是真的得了蛀牙应该怎么办呢?
首先,让我们先了解一下什么是蛀牙。蛀牙,有时也有人叫它虫牙,学名龋齿。其主要形成原因是牙菌斑。牙菌斑是牙齿表面的一层几乎无色的薄膜,含有造成龋齿的细菌。户次进食后,牙菌斑中的这些细菌会和食物中的糖分或淀粉发生化学作用,产生腐蚀牙齿的酸性物质。久而久之,牙齿的珐琅质便会破坏,形成比较脆弱的小蛀斑,若继续恶化则会形成牙洞,即蛀牙。所以,蛀牙是从小蛀斑发展而来的,不是真的有蛀虫或什么其他虫子,而是牙齿被逐渐腐蚀的结果。蛀牙在严重情况下,会导致牙齿的坏死和脱落。
对于已经形成的蛀牙,一定要立刻去牙医处就诊,让牙医及时采取措施,填补龋洞,防止其继续恶化。千万不能有等一等,算了吧的观念。“牙疼不是病”的观点不仅是错误的,而且会耽误治疗,造成蛀牙恶化,牙齿坏死,而且还有可能导致更多的蛀牙产生。真要是到了疼得实在受不了的阶段,有时就连牙医也帮不上你,那真是小洞不补,大洞吃苦。
与此同时,专家指出,在得了蛀牙后,更需要使用优质的含氟牙膏,所谓“亡羊补牢,为时未晚”。因为优质的含氟牙膏,如佳洁士氟泰配方的防蛀牙膏,一方面可以利用氟离子进入牙齿表面,形成保护层,帮助抵御酸性物质的侵蚀,从而帮助防止蛀牙状况的恶化;另一方面,这种氟离子可以作用在其他牙齿上,对于一些潜在的蛀牙危险,也就是小蛀斑,起到促进牙齿再矿化的作用,修复这些早期小蛀斑,避免进一步发展形成蛀牙。
临床研究结果也表明:与使用不含氟牙膏者比较,含氟牙膏使用者的小蛀斑能够显著被修复。
我们在此呼吁大家对蛀牙问题重视起来,千万不要采取无所谓的态度,要积极地寻求牙医的帮助,要坚持使用优质的含氟牙膏,掘弃“牙疼不是病”的错误观念,确保牙齿的健康,不然最后吃亏的还是你自己。
相关解答七:幼儿虫牙怎么办
儿童龋齿治疗的黄金时期是龋齿刚刚发生的浅龋时期,这个时候治疗龋齿孩子痛苦小,治疗过程较简单,儿童易配合,不但可控制蛀牙的发展,甚至可修复蛀牙造成的牙齿龋坏。儿童龋齿的早期预防和治疗,对于孩子和身心健康也有着重要的意义。专业医生建议,预防和治疗龋齿的最好方式是用 圣 惠虫牙方辅助刷牙,坚持早晚刷牙,注意口腔清洁。
一、 保证恒牙的正常萌出 当乳牙发生龋齿时,如果不在龋齿早期进行治疗,可进一步发展导致牙髓炎、根尖周炎,可能会影响到根尖部发育中的恒牙牙胚,造成恒牙形态畸形。乳牙龋病严重会过早脱落,造成恒牙拥挤排列不齐,影响美观,为恒牙患龋埋下祸根,严重影响婴幼儿的身体健康。
二、 避免龋齿严重,造成更大的伤害,使治疗更复杂 因为龋病的出现和加重都是渐进的,一般孩子牙齿初现“小洞”时还不会感到疼痛,但俗话说,“小洞不补,大洞吃苦”,等到小洞变成大洞,发展成牙髓炎、根尖周炎才会出现疼痛和肿胀,这时再治疗就麻烦多了。
三、 避免孩子发生其它并发症 乳牙患龋病严重时,首当其冲会对乳牙本身带来危害,如造成牙体缺损,导致残冠、残根、失牙等,使孩子降低或丧失咀嚼功能。除此以外,乳牙患龋还会使相邻口腔组织形成溃疡,妨碍舌运动,引起牙龈炎症,甚至可引起相应部位淋巴结炎、蜂窝组织炎、颌骨骨髓炎和副鼻窦炎等。龋齿还可能引发风湿性关节炎、心内膜炎、慢性肾炎、视网膜炎等全身疾病。宝宝龋齿引起的根端肉芽肿、囊肿、牙髓感染等完全可成为感染病灶,在过度疲劳,感冒等身体抵抗力降低时,可诱发肾炎、风湿热、扁桃体炎、脓疱疮、猩红热、败血症等。
儿童龋齿严重者还会引发肺炎。美国研究人员最近称,在儿童龋齿上发现的细菌能够进入人的肺部,使人患上可能致命的肺炎。纽约布法罗大学的研究人员称,在肺炎高发期发现,儿童龋齿是呼吸道病菌的温床,会使孩子患上肺炎。
相关解答八:虫牙出血怎么办?
建议他保存这几颗牙根,并在保护牙根的基础上为他做了镶牙处理。...哪怕一个牙根也可支撑一颗假牙来行使功能,这样,会给患者带来意想不到的好处。...
相关解答九:有虫牙很痛怎么办
你好,蛀牙是牙齿硬组织逐渐被破坏的一种细菌性疾病,因此它可以继发牙髓炎和根尖周炎,甚至能引起牙槽骨和颌骨炎症。治疗上主要方法是充填。牙疼严重一般是已经蛀到牙神经了,建议你及时去医院检查治疗!祝你早日康复!
相关解答十:儿童虫牙怎么办
关于小孩虫牙问题,一直存在争议。(有的医生说小孩子迟早要换牙的,6岁前虫牙不建议治疗;技术更厉害的机构会说,小孩子无论什么时候,出现虫牙都应该尽早治疗)
首先,区分乳牙和恒牙:
人的一生中就只有两幅牙齿,乳牙和恒牙。小孩子6岁之前只有乳牙,没有恒牙的。乳牙一般半岁开始萌出,两到三岁开始萌完,总共20颗乳牙。
小孩子到了6岁就开始换牙了,有的是6岁半左右开始换牙(都是正常的),一直到12岁换牙结束。这个换出来的牙齿叫做恒牙,人一辈子就这一幅牙齿了,就不能再换了。恒牙有28或是32颗,在6岁左右开始萌出,到12岁左右全部萌出(不包括4颗智齿,也就是全部恒牙28颗)。

简单来说,乳牙是第一批长出来的牙齿,最后都要脱落的。恒牙是人的第二幅牙齿,掉了就很麻烦了,只能装种“假的”了。
乳牙全部换完要到12岁,12岁之前是孩子生长发育非常关键的时期,牙齿不好对吃东西影响很大,直接影响到孩子的生长发育。再有,乳牙有问题了一定要尽早治疗。
希望我的回答能够帮你答疑解惑。
百度搜索“爱华网”,专业资料,生活学习,尽在爱华网
爱华网



