平滑肌肉瘤的发病机制

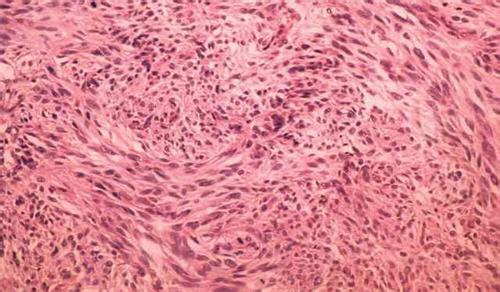
发病机制尚不明确。病理检查:肿瘤科呈灰或灰红色,如鱼,有出血、坏死。肿瘤细胞呈梭形,大小不等,胞质嗜酸性染色,胞膜清晰,可见肌原纤维。平行或交错丛的细胞。
与胃肠道其他间质肿瘤类似为平滑肌肉瘤主要起源于平滑肌组织,少部分可能为神经起源,部分由良性胃平滑肌肉瘤恶变而来。胃平滑肌肉瘤大多位于胃近侧的1/2,即贲门,胃底区域,其次是胃体部,巨大的平滑肌肉瘤有时可累及全胃。
胃平滑肌肉瘤引起的原因
肿瘤呈球形或半球形,主要在粘膜下扩展,与胃壁呈垂直性生长。可单发,亦可多发,部分由良性平滑肌瘤恶变而来。好发于胃壁的中上部,以胃体部为多见,其次是胃底部。
根据其大体形态,可分为三形
1、胃内型,肿瘤位于粘膜下,突向胃腔;
2、胃外型主要就是肿瘤处在浆膜的下面,会向胃壁突出。
3、胃内和胃外型,肿瘤位于胃肌层,同时向粘膜下及浆膜下突出,形成哑铃状肿块。
爱华网



