
馆友“海天神龙”:
您好!您的馆藏文章“图文:用双氧水、舒夫达湿疹顽癣一扫光!”深受广大馆友的喜爱,于2014年8月15日进入“阅览室”频道的“健康/养生”下“杂症/偏方”类别的精华区。360doc代表全体馆友感谢您的辛勤劳动和慷慨分享!
────360doc个人图书馆


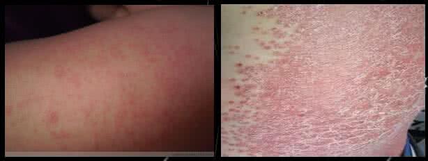
进入冬季,是皮肤病多发和反复的季节,尤以皮炎、湿疹、荨麻疹的发病率为高,湿疹、皮炎、荨麻疹易反复发作。为什么有些湿疹、皮炎会反复发作?一旦患上,能否治愈?湿疹、皮炎、荨麻疹的发病原因很复杂,包括内在因素、外在因素。所谓内在因素就

系统垃圾一扫光【干净彻底全部】如果电脑系统运行缓慢,我们通常都会对磁盘的垃圾文件进行清理,可Windows系统自带的“磁盘清理”功能并不能完全发挥清理磁盘的功效。其实,如果使用两

大概是去澡堂泡澡的时候得的,等到发现的时候已经出现虫子了。那时候不知道怎么办,在网上搜了下,就买了你们说的虱虫一扫光,先声明我不是托。我还有交易证据和快递单!不要贪图便宜买便宜货。几百块能用好也不错!怎么用才能真的消灭虫子?一定

立冬后,皮肤会不同程度的出现干燥、瘙痒、脱皮等症状,皮肤科专家提醒,这是由于冬季皮脂腺和汗腺的分泌功能进一步下降,促使皮肤内分布的神经末梢感受器蜕变老化,并向大脑皮层感觉中枢发出异样的刺激信号,应当正确应对。这个

皮炎湿疹即使得到治疗后,也很容易复发,导致很多患者失去治疗的信心,其实该病复发的原因与其多种多样的诱发因素有关,所以生活中除了坚持治疗,也要注意日常的护理。家庭中如何护理皮炎湿疹的方法,患者应了解。1、冰 敷 患者的皮