什么是噬血细胞综合征呢,想必大家对于噬血细胞综合征都还不是太了解的吧,那么大家知道噬血细胞综合征治疗是什么样的吗,噬血细胞综合征是什么呢,下面就让我们一起来了解一下吧。
人体的血液是一把双刃剑,一方面,像一个干净的侵入的细菌和人体的老化细胞,清理有害物质对人体,起着保护人体的作用;另一方面,如果其过度活跃,就会不分敌我,将人体有用的细胞一并吞噬,严重的会将人体组织、器官一点点侵蚀,造成一系列损伤,导致大出血点、肝功能衰竭、呼吸衰竭等严重后果。这就是嗜血细胞综合症。
发病机理
嗜血细胞综合征可分为原发生和反应性,潜在疾患可为感染、肿瘤、免疫介导性疾病等,由于噬血细胞增多,加速了血细胞的破坏。
因为老年人的体质比较弱,免疫力较差所以更容易会发生感染,这个病一般是不会传染的,如果是感染因素,要尽快去除感染因素,原发病治疗好后多可自愈。
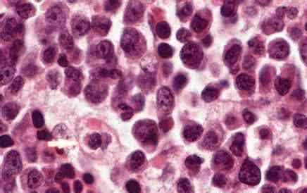
病理特征
良性组织细胞增多,并伴有血-血现象,更常见于淋巴结肿大淋巴结、髓样、肝窦、门静脉、脾红髓。在急性期,该病与白血病、恶性组织细胞增生症、传染性单核细胞增生症等病相似,且并非所有病例第一次骨穿即能发现嗜血细胞,有时需多部位穿刺才能确诊。
骨髓多增生活跃,粒系统所占比例降低,中性粒细胞可见毒性变。幼红系统增生多正常,淋巴系统比例亦未见明显改变,可见异淋。单核巨噬系统增生活跃,常>10%,巨噬细胞大小为20~40微米,或更大,胞浆丰富,吞噬多个成熟红细胞,或幼红细胞或血小板等。巨核细胞大致正常。
诊断标准
1、发热,发热超过1周,热峰>38.5'C。
2、肝脾肿大,肝脾大伴全血细胞减少,累计>=2个细胞系。
3、血细胞出现减少的情况,其中血红细胞小于就是克每升,血小板小于100x109/L,中性粒细胞<1.Ox109/L。

4、高甘油三酯血症和/或低纤维蛋白原血症。
5、骨髓、脾或淋巴结可见噬血细胞但无恶性表现。
爱华网



