结节病(sacoidosis)是一种原因未明的多系统肉芽肿性疾病。最常累及的器官有肺,临床上90%以上有肺的改变,其次是皮肤病变和眼的病变,浅表淋巴结、肝、脾、肾、骨髓、神经系统、心脏等几乎全身每个脏器均可受累。此病可呈自限性,大多预后良好,有自然缓解的趋势。但临床上需与其他肉芽肿性疾病如结核病、铍病和一些间质性肺疾病进行鉴别。本病多见于青中年人,20-40岁占患者总人数55.4%。男女发病率大致相等。
临床表现
1.隐匿发病。发热、盗汗、乏力、消瘦。
2.咳嗽,以乾咳为主,可有咳痰、血痰、胸痛、气短、自发性气胸。
3.皮疹、关节疼痛、肝脾肿大、浅表淋巴结肿大。
4.眼部病变(结膜炎、视网膜炎、白内障、虹膜睫状体炎)。
诊断依据
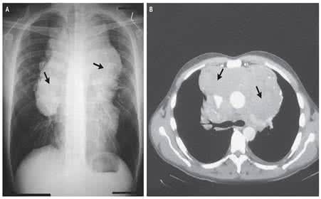
1.胸部影像学检查示双侧肺门及纵隔淋巴结对称性肿大,伴或不伴有肺内网状、结节状或片状阴影。
2.组织学活检证实有非乾酪性坏死性肉芽肿,且抗酸染色阴性。
3.血清血管紧张素较化酶SACE活性升高。
4.血清或BALF中白介素-Ⅱ受体(IL-2R)水平增高。

5.旧结核菌素(OT)或PPD试验阴性或弱阳性。
6.BALF中淋巴细胞数〉10%,且CD4 /CD8 比值>=3。
7.高血钙、高尿钙症。
8.Kveim试验阳性。
9.除外结核病或其他肉芽肿性疾病。
辅助检查
胸部影像学检查(X线胸片或CT)是必作的检查,有条件者应尽可能作肺活检,纤维支气管镜及支气管肺泡灌洗检查等以明确诊断,SACE、Kveim试验亦有一定诊断价值。
爱华网



