说到急性肾小球肾炎,应该有很多人对急性肾小球肾炎了解的很少,甚至很多人都没听说过急性肾小球肾炎。你今天小编就来为大家介绍一下急性肾小球肾炎病因以及急性肾小球肾炎的治疗方法,希望这些对于大家了解急性肾小球肾炎有所帮助。
急性肾小球肾炎

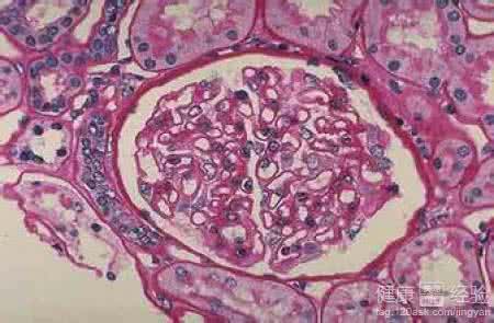
急性肾小球肾炎是一种比较常见的肾脏疾病,可以简称为急性肾炎。其主要症状就是血尿,高血压等一些症状,而引起急性肾小球肾炎的主要原因大多数是感染所诱发的。
一、病因
本病常因β-溶血性链球菌“致肾炎菌株”(常见为A组12型等)感染所致,常见于上呼吸道感染、猩红热、皮肤感染等链球菌感染后。感染的严重程度与急性肾炎的发生和病变轻重并不完全一致。本病主要是由感染所诱发的免疫反应引起。
二、表现症状
急性肾小球肾炎大多数是出现在儿童的身上,那出现在儿童身上会有什么症状体现呢?下面我们就来看一下吧。
1.急性肾炎一般病例有水肿、少尿、血尿、血压高于130/80mmhg(17.3/10.7kpa)。
2.儿童患上急性肾小球肾炎的时候,往往都会出现乏力,恶心,呕吐等症状,也有些患者会出现腹痛症状。
3.严重病例可伴有并发症,如循环充血、高血压脑病、急性肾功能不全。
三、介绍治疗
急性肾炎在急性期给予及时合理的治疗和护理,愈后一般都较好。
1.抗生素控制感染抗生素对疾病本身作用不大,但可清除病灶内残存的链球菌,临床上常用青霉素或红霉素7至10天。
2.治疗急性肾小球肾炎,可以使用药物进行治疗,如速尿、双氢克尿噻等。
3.降压休息限水、盐,使用利尿、降压药物,常用巯甲丙脯酸、心痛定、利血平等。
4.急性肾功能衰竭时应限制液量。
四、重点解释
1.饮食急性期进食低盐(盐量2g/d)、低蛋白质(蛋白量小于4mg/d)、高热量饮食,限制盐腌食物、豆类、动物性食物。高血压、心衰、水肿严重者给予无盐饮食。血压正常、无水肿者或予普通饮食。
2.起病2至3周内及水肿、高血压者应绝对卧床休息,待肉眼血尿消失,血压正常、水肿消退即可适当活动,活动以室内为宜。
3.复查时间及指征出院后每月复查尿常规一次,直至尿常规正常。一旦出现血尿或蛋白尿,及早治疗。
五、特殊交代
1.在固定时间内测血压,观察患儿血压的情况,舒张压大于90mmhg(10.6kpa)应予降压药。
2.观察水肿消退情况,每天测体重,记录尿量或出入量。入量按400ml/m2(体表面积)加每日尿量及其他丢失液体(如呕吐、腹泻)来计算。
3.加强患儿个人卫生,保持皮肤干燥、清洁及口腔清洁。
4.居室清洁舒适,减少探视,特别是避免与患感冒的人接触,以防感染患儿,加重病情。
5.出现上呼吸道感染或皮肤感染时,应及时并彻底治疗,并于感染后2至3周内随访尿常规,以期及时发现肾炎。
爱华网



